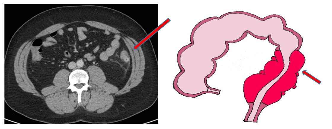
La diverticulose colique correspond à une faiblesse de la paroi musculaire du colon avec formation de petites « hernies ». En effet, les muscles coliques se contractent pour faire progresser les selles vers le rectum et dans la partie la plus rétrécie (le colon sigmoïde), les diverticules se forment sous l’effet de la pression intra luminale.

La formation de ces diverticules est plus volontiers observée chez les personnes ayant un régime pauvre en fibres.
Le plus souvent, ces diverticules ne provoquent aucun symptôme et il n’y a pas de raison de suivre un régime particulier, c’est ce que l’on appelle la diverticulose. Aucun traitement, ni suivi n’est nécessaire.
La poussée de diverticulite sigmoïdienne non compliquée
Elle correspond à l’inflammation d’un diverticule dans le colon sigmoïde.
Elle se manifeste par une douleur dans le bas ventre, plutôt à gauche, avec de la fièvre (température>38.5°C), une constipation réflexe ou au contraire une diarrhée, et peut être favorisée par la prise d’AINS (Nifluril, Profenid) ou d’ Aspirine. Un bilan sanguin vous sera prescrit et montrera des signes d’infection avec globules blancs augmentés et CRP élevée. Un scanner est fait en période aigüe et confirme l’inflammation du colon, avec une paroi épaissie et sans complication (pas d’abcès ni de péritonite).

Un traitement sans hospitalisation est souvent possible, avec des antalgiques, +/- antibiotiques. En effet, les dernières recommandations nationales ne prescrivent plus d’antibiotiques de façon systématique en cas de bon état général, en l’absence d’immunosuppresseur ou de grossesse. Il faudra les introduire en l’absence d’amélioration (Augmentin 1 g x 3/j pour 7 jours). Le régime sans résidus n’est également plus prescrit (efficacité non démontrée) et une alimentation normale est recommandée. Une poussée de diverticulite peut rarement survenir sur un autre site du cadre colique (colon droit ou transverse).
Il n’est pas nécessaire de réaliser de bilan sanguin ou de scanner de contrôle si les douleurs disparaissent. Le risque de récidive de diverticulite après une première poussée est estimée entre 9 et 32% à 10 ans.
La poussée de diverticulite sigmoïdienne compliquée
Elle correspond à l’inflammation d’un diverticule sur le colon sigmoïde avec présence d’abcès au contact du diverticule inflammatoire, ou de perforation du diverticule accompagnée d’une infection localisée ou généralisée du ventre (péritonite).
Elle se manifeste par une douleur dans le bas ventre, plutôt à gauche, avec de la fièvre, une constipation réflexe ou au contraire une diarrhée, et peut être favorisée par la prise d’AINS ou anti-inflammatoires. Un bilan sanguin vous sera prescrit et montrera des signes d’infection avec leucocytes augmentés et CRP élevée. Un scanner est fait en période aigüe et confirme l’inflammation du colon, avec une paroi épaissie et la présence de complication (abcès, bulles d’air extradigestives, péritonite).
Le traitement se fait toujours en hospitalisation. Une antibiothérapie par voie veineuse est administrée (Ceftriaxone - Métronidazole) à la phase initiale.
Abcès ou sigmoïdite « perforée bouchée »
Une antibiothérapie par voie veineuse est administrée (Ceftriaxone - Métronidazole) à la phase initiale en hospitalisation. La diminution des douleurs et l’amélioration du bilan sanguin sont contrôlés après 48h d’antibiothérapie par voie veineuse. En cas d’amélioration de ces deux paramètres, une sortie est autorisée avec des antibiotiques par voie orale (Augmentin 1g trois fois par jour) pour 10 jours au total.

En cas d’abcès, un drainage par voie cutanée par un radiologue (sous anesthésie locale sous contrôle échographique ou scannographique) peut être réalisé en fonction de sa taille et de sa localisation.
Le régime sans résidus n’est plus prescrit (efficacité non démontrée) et une alimentation normale est recommandée. Après la sortie d’hospitalisation il faut surveiller la diminution des douleurs et l’absence de fièvre (température>38.5°C). Si les douleurs augmentent ou de la fièvre apparaît, il faut consulter aux urgences. Le chirurgien vous reverra 1 mois après la sortie d’hospitalisation.
Péritonite ou en cas d’échec de traitement médical
En cas de péritonite (infection généralisée du ventre), dont le diagnostic est fait à l’examen clinique et sur le scanner, une chirurgie en urgence doit être réalisée. Elle consiste à retirer le sigmoïde sur lequel se trouvent les diverticules. Le plus souvent il est nécessaire de réaliser une colostomie (poche permettant l’évacuation des selles) de façon temporaire car une couture sur le colon ne cicatrise pas dans l’infection. C’est ce que l’on appelle l’intervention de Hartmann.
En cas d’abcès ou de sigmoïdite « perforée bouchée » n’évoluant pas de façon favorable (augmentation des douleurs, persistance de fièvre, aggravation du bilan sanguin), une chirurgie est également nécessaire. La chirurgie réalisée est la même que celle réalisée pour péritonite.
Lors de la réalisation d’une intervention de Hartmann, la stomie peut être fermée (rétablissement de la continuité) 3 mois après la chirurgie initiale. L’opération consiste alors à réaliser une couture entre la stomie et le rectum laissé dans le ventre.
Fistule
Une diverticulite sigmoïdienne peut évoluer vers une fistule, c’est-à-dire une communication, avec la vessie. Les symptômes vont être une issue de selles par le vagin en cas de fistule entre le sigmoïde et le vagin, et des infections urinaires à répétition, la présence de gaz ou de selles dans les urines en cas de fistule entre le sigmoïde et la vessie. Un abcès peut être présent à la phase initiale. Le traitement consiste à administrer une antibiothérapie par voie veineuse (Ceftriaxone - Métronidazole) à la phase initiale en hospitalisation. La diminution des douleurs et l’amélioration du bilan sanguin sont contrôlés après 48h d’antibiothérapie par voie veineuse. En cas d’amélioration de ces deux paramètres, une sortie est autorisée avec des antibiotiques par voie orale (Augmentin 1g trois fois par jour) pour 10 jours au total. Une chirurgie sera systématiquement proposée à distance (2/3 mois après la poussée) afin de retirer le sigmoïde malade responsable de la fistule.
Sténose
Une poussée de diverticulite peut évoluer vers une sténose (un rétrécissement) du colon sigmoïde. Les symptômes sont une occlusion (douleur abdominale, arrêt des matières et des gaz, distension abdominale), ou des douleurs à répétition. Une chirurgie sera systématiquement proposée afin de retirer le sigmoïde sténosé.
Surveillance après une sigmoïdite
Coloscopie
La coloscopie n’est pas réalisée au moment d’une poussée. En cas de sigmoïdite simple, il n’est pas nécessaire de réaliser de coloscopie à distance de la sigmoïdite. En cas de sigmoïdite compliquée, il faut réaliser une coloscopie à distance de la sigmoïdite (dans les 2/3 mois).
Chirurgie programmée ou Colectomie gauche par coelioscopie
Dans certains cas, une chirurgie peut être proposée à distance d’un épisode de diverticulite pour éviter la récidive, en sachant que le risque de récidive après une première poussée est estimée entre 9 et 32% à 10 ans .
La chirurgie n’est pas systématique, mais peut être proposée :
- après une sigmoïdite compliquée
- lorsque les poussées de diverticulite sont rapprochées dans le temps et impactent la qualité de vie, même s’il s’agit de poussées non compliquées.
La chirurgie est systématique :
- en cas de fistule avec la vessie ou le vagin
- en cas de sténose.
La chirurgie consiste à retirer le sigmoïde sur lequel se trouvent les diverticules, et à réaliser une anastomose (couture) entre le colon et le rectum. Cette chirurgie est réalisée 2 à 3 mois après une poussée afin de diminuer l’inflammation dans le ventre.

Le traitement chirurgical : colectomie gauche ou sigmoïdectomie consiste à enlever tout le colon sigmoïde par coelioscopie ou par chirurgie robotique. Une anesthésie générale est nécessaire pour relâcher les muscles de la paroi abdominale et permettre de gonfler la cavité abdominale avec du gaz carbonique. Puis l’opérateur introduit des « trocarts » ou tube à travers l’ombilic et la paroi pour passer la caméra et les instruments dans le ventre, en abordant la zone opératoire.
Dans un premier temps, l’angle colique est mobilisé de ses attaches pour être « descendu ».
Puis, il faut descendre dans la partie basse du petit bassin pour couper et agrafer le rectum. Le colon sigmoïde malade est ensuite sorti par une petite incision au dessus du pubis, puis coupé à l’extérieur du ventre. Une « enclume » de pince mécanique est introduite dans a partie haute du colon sain, qui est réintégré dans le ventre.
Puis une « anastomose » ou couture « bouche à bouche » est faite entre le colon sain et le rectum à l’aide d’une pince agrafeuse mécanique.
Il y aura donc de petites cicatrices réparties sur l’abdomen, et une de 5 cm du dessus du pubis, fermées avec un fil « résorbable » qui tombera tout seul.
L’intervention dure en moyenne 1h 30 et en cas de difficultés techniques (interventions antérieures avec adhérences, inflammation) le chirurgien peut « convertir » et faire une cicatrice de 15 cm, mais cela reste rare (5 %)
Risques de complications post opératoires : Votre chirurgien vous en informera en consultation et vous exposera les bénéfices/risques de la chirurgie c-a-d la comparaison des risques de l’opération à l’absence d’opération ( altération de la qualité de vie, Abcès, péritonite).
- La fistule anastomotique ou perte d’étanchéité au niveau de la couture survient dans 3 à 5 %, de façon discrète (fièvre, douleur, augmentation des globules blancs) et peut se traiter médicalement (antibiotiques) ou de façon bruyante (péritonite) et nécessite une réopération en urgence avec confection d’une stomie ou poche transitoire. Ces incidents surviennent pendant la première semaine.
- Une hémorragie par les selles peut survenir et s’arrête très souvent spontanément, avec parfois, nécessité de transfusion
- L ’ abcès des incisions des orifices est rare et se manifeste par une rougeur, une douleur ou un écoulement anormal. Dans ce cas, il faut consulter votre chirurgien pour évacuer l’abcès.
- Le risque de phlébite est très rare et peut être prévenu par le port de bas de contention ou de piqures d’anticoagulants (HBPM) en cas de facteurs de risques (obésité, antécédents personnels de phlébite ou d’embolie pulmonaire)
-
La RAC ou réhabilitation rapide consiste à préparer les patients à l’opération par une correction de l’amaigrissement (conseils diététiques), la pratique du sport, le traitement de la douleur ou l’arrêt du tabac ; Elle permet une diminution des complications
Conséquences de la sigmoïdectomie à terme :
- Transit « anarchique » pendant le premier mois, puis normalisation rapide. Si une constipation importante s’installe à distance, il faudra faire une coloscopie à la recherche d’un rétrécissement de l’anastomose
- AUCUNE : sport dès le premier mois, pas de régime